CHIRURGIA DEL GINOCCHIO
Ginocchio > Chirurgia Protesica
PROTESI TOTALE E MONOCOMPARTIMENTALE
La protesi totale del ginocchio e' un intervento che si effettua sempre piu' frequentemente nelle sale operatorie di tutto il mondo, sia per il notevole invecchiamento della popolazione, sia per gli ottimi risultati clinici ottenuti (nelle principali statistiche mondiali il 90-95% di risultati buoni od ottimi dopo 10 anni dall'intervento). |
Degenerazione della cartilagine
|
Asportazione della cartilagine degenerata dal femore
|
Asportazione della cartilagine degenerata della tibia
|
Asportazione della cartilagine degenerata dalla rotula
|
componenti della protesi: femore, tibia, rotula e piatto tibiale in polietilene |
Inserimento della componente femorale
|
Inserimento della componente tibiale
|
Inserimento della componente in polietilene fra le componenti metalliche
|
Assemblaggio finale della protesi e valutazione dei movimenti e della stabilita' del ginocchio
|
|
Clicca quì - Caso Clinico Protesi di ginocchio
Ginocchio > Osteotomia Tibiale
OSTEOTOMIA TIBIALE
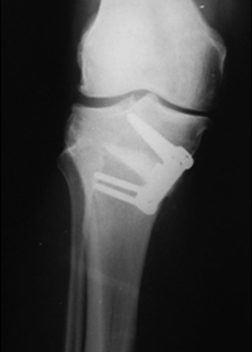
Nei casi in cui vi sia una severa degenerazione della cartilagine di una sola zona del ginocchio (in genere quella interna) e vi sia associata anche una deformazione in varismo della gamba, in un paziente piuttosto giovane (in genere sotto i 60 anni), vi e' l'indicazione ad effettuare l'intervento di osteotomia della tibia c.d. di "valgizzazione". Tale intervento ha lo scopo ultimo di spostare il carico sul ginocchio dalla zona malata mediale o interna a quella sana laterale. Si tratta quindi, in definitiva, di un intervento "biomeccanico" ovvero un intervento che pur non utilizzando protesi artificiali o altri sistemi di rivestimento biologici, riesce comunque ad apportare un significativo miglioramento sia sul dolore sia sulla funzionalita' del ginocchio.
|
Necrosi del solo compartimento mediale del ginocchio con modesto varismo in paziente entro i 60 anni: ottima indicazione all'intervento di osteotoma di valgizzazione
|
Accurato studio radiografico pre-operatorio per valutare l'entita' ed i gradi della correzione
|
Incisione cutanea mediale sulla tibia prossimale
|
Infissione di un filo guida per orientare la linea del taglio sulla tibia
|
Si effettua il taglio della tibia e si apre la sede osteotomica dei gradi esatti precedentemente calcolati sulla radiografia
|
Controllo dell'allineamento dell'arto dopo aver effettuato la correzione
|
L'apertura osteotomica si blocca infine con un'apposita placca e 4 viti; se l'apertura e' di una certa entita' si puo' usare un trapianto di osso autologo od artificiale
|
Controllo a distanza di 1 anno che evidenzia l'ottima ricrescita ossea nella sede dell'osteotomia e l'ottimo allineamento dell'arto inferiore ottenuto con l'intervento
|
Ginocchio > Chirurgia Artroscopica
LESIONE MENISCALE
![]() |
Le più comuni lesioni del ginocchio sono quelle a carico dei menischi, due piccole strutture fibrocartilaginee a forma di C poste tra i condili femorali e la tibia. I menischi permettono una migliore distribuzione dei carichi sulla cartilagine articolare, attenuandoli e garantendo al tempo stesso la corretta meccanica del movimento. |
MENISCO MEDIALE NORMALE |
LESIONE MENISCO MEDIALE |
LESIONE CARTILAGINEA
![]() |
La cartilagine è l’elemento fondamentale nella fisiologia articolare, i condrociti sono le cellule che la costituiscono, hanno limitate capacità rigenerative e dopo una lesione traumatica vanno incontro ad alterazioni degenerative che possono essere irreversibili. Le lesioni più superficiali tendono a progredire verso la degenerazione, quelle che penetrano l’osso sub condrale guariscono attraverso la formazione di un tessuto fibrocartilagineo o simil-cartilagineo. Il tessuto di guarigione però differisce dalla normale cartilagine ialina sia biochimicamente che biomeccanicamente e può facilmente andare incontro a successiva degenerazione. Ogni lesione a carico della cartilagine articolare, ed in speciale modo nel ginocchio, viene considerata come l’inizio di una malattia cronica degenerativa con poche possibilità di cura, a causa della scarsa capacità rigenerativa di questo tipo di cellule. Il paziente comincia quindi un percorso lento ma inesorabile che lo porterà ad una progressiva limitazione funzionale dell’arto, fino ad arrivare all’applicazione di una protesi. |
LE LESIONI CARTILAGINEE DEL GINOCCHIO
Le lesioni cartilaginee dell'arto inferiore comportano quadri di notevole importanza per il dolore e talvolta la tumefazione sofferte dal paziente.
|
|
SINDROME FEMORO ROTULEA
![]() |
La rotula è un anello fondamentale della catena muscolo-tendinea che rende possibile l'estensione del ginocchio (e quindi la deambulazione, la stazione eretta, e la quasi totalità delle nostre attività motorie). In questa catena, la rotula è compresa tra il muscolo quadricipite (il principale muscolo della coscia) e il tendine rotuleo, che, inserendosi sulla tibia a livello dell'apofisi tibiale anteriore, pemette di trasformare la contrazione del muscolo in estensione del ginocchio. Per poter scorrere liberamente, la rotula possiede un "binario" scavato nella parte terminale del femore, la troclea. L'articolazione deputata a questo scorrimento è l'articolazione femoro-rotulea, che è parte integrante del ginocchio di cui costituisce uno dei tre compartimenti.
|
In un numero elevato di pazienti si verifica la cosiddetta "sindrome femoro-rotulea" ovvero l'insergenza di un dolore anteriore di ginocchio legato al malfunzionamento del meccanismo di scorrimento tra rotula e femore.
L'ipotrofia quadricipitale è la causa che maggiormente conduce a questa sindrome (90% dei pazienti), viene a mancare infatti la forza stabilizzante del muscolo, che per primo si oppone alla lateralizzazione della rotula.
|
|
LESIONI LEGAMENTOSE
|
LESIONI DEL LEGAMENTO CROCIATO ANTERIORE
Si tratta di lesioni traumatiche piuttosto frequenti che colpiscono in particolare quegli atleti che praticano sports di contatto quali il calcio e il basket o sports come lo sci alpino nelle sue varie discipline. il meccanismo traumatico piu' frequente e' quello di una distorsione in valgismo ed extrarotazione del ginocchio. Di fondamentale importanza e' la diagnosi precoce della lesione in quanto una instabilita' articolare puo' arrecare gravi danni nel tempo sia ai menischi che alla cartilagine articolare. il trattamento di scelta oggigiorno e' senza dubbio un precoce intervento di ricostruzione del legamento per via artroscopica che garantisce ottimi risultati anche a lungo termine.
|
||||

































I legamenti crociati sono i principali responsabili della stabilità del ginocchio. Essi sono tesi tra il femore e la tibia e decorrono all'interno dell'articolazione. Prendono il nome di "crociati" perchè si incrociano al centro dell'articolazione. I legamenti crociati anteriore e posteriore impediscono lo spostamento rispettivamante anteriore o posteriore della tibia rispetto al femore. Nel disegno sottostante si può osservare come un legamento crociato anteriore (l.c.a.) integro impedisca alla tibia di traslare in avanti. Non così un legamento rotto. La direzione dei crociati, sghemba rispetto agli assi corporei, fa si che partecipino in modo determinante anche alla stabilità torsionale e laterale dell'articolazione. I crociati si rompono essenzialmente per traumi di tipo distorsivo. Il legamento crociato anteriore è più esposto al rischio di lesione. Spesso la rottura di un crociato si accompagna anche a lesione dei legamenti collaterali e dei menischi, costituendo così solo un elemento di un danno capsulo-menisco-legamentoso complesso. 

